BDI Logo

brush365 Dental Injury in Texas

Quick, expert help for traumatic dental injuries, right here at brush365.

New Patients Should Choose ‘BDI brush365 Dental Injury Consultation’.

brush365 Logo With Trademark - light blue accent

Referral Resources

Are You a Provider Referring to brush365 Dental Injury?

Understanding Dental Injury Care

Help and healing for life’s unexpected dental emergencies.

When a dental injury occurs—whether from car accidents, trips or falls, or work-related incidents—it can lead to severe dental pain, fractured teeth, damaged soft tissues, or even knocked-out teeth. Leaving untreated dental trauma puts permanent teeth, bone, and overall oral health at risk.

At brush365 Dental Injury in Texas, our skilled teamThis link leads to the Team page treats traumatic dental injuries quickly and compassionately. From broken teeth and soft tissue injuries to cases requiring root canal treatment, we provide dental treatment so every patient can return to full function with confidence.

Common types of dental injuries we treat:

  • Broken teeth or fractured teeth from trauma
  • Dental implants

  • Completely knocked-out teeth caused by accidents
  • Jaw injury after impact
  • Soft tissue injuries to the gums, tongue, or lips
  • Severe dental pain needing root canal or other procedures

Our dentists handle common dental emergencies to protect your oral health, control pain, and prevent lasting complications. Always contact a dentist immediatelyThis link leads to the Contact page if you suspect a traumatic dental problem.

Explore Our Full Dental Injury Resource Center

For comprehensive injury guides, emergency steps, attorney resources, and detailed treatment information, visit our dedicated brush365 Dental Injury website.

Benefits of Expert Dental Injury Treatment

brush365 doctor and patient talking
Relief from Pain and Trauma
If you've sustained an injury, we can help relieve the pain and fix the problem.
brush365 doctor pointing at a screen with a 3D model of a jaw
Saving Natural and Permanent Teeth
Dental treatment can save permanent teeth after traumatic injuries. Whether you face fractured teeth, broken teeth, or knocked-out teeth, we restore oral health.
brush365 doctor and patient
Restoring Full Function and Confidence
We repair teeth, gums, and soft tissues so you can chew, smile, and speak comfortably again. Treatments may include root canal procedures, crowns, or dental implantsThis link leads to Dental Implants page to restore strength and function.
A member of brush365 reception team shaking hands with a patient
Flexible or Zero LOP Payment

We’re one of only a few dental offices in Texas offering LOP for trauma patients—so treatment happens now, and payment comes later through your settlement.

Most patients don't pay any out-of-pocket costs in negligence cases.

How We Treat Dental Injuries

Dental injury care with Letter of Protection (LOP) support at brush365 dental injury.

Dental injuries can happen anytime—from car accidents and sports injuries to work-related accidents. At brush365 Dental Injury, we make the process as smooth and stress-free as possible, especially for patients seeking care under a Letter of Protection (LOP).

We work closely with attorneys, and our team is happy to assist them in filing needed paperwork and handling your case promptly and efficiently.

  • Step 1 – Comprehensive Assessment
    Our team begins with a full evaluation to identThis link leads to the Team pageify the extent of your injury. We check for broken or fractured teeth, bone trauma, and soft tissue damage. If a tooth has been knocked out, our dentist will determine whether it can be replanted and discuss necessary treatments such as root canal therapy, bonding, or dental implants.
  • Step 2 – Treatment and Stabilization
    Once your diagnosis is complete, we focus on stabilizing the injury and restoring your oral health. This may involve repositioning or splinting teeth, repairing soft tissue wounds, or replacing missing teeth. We’ll also guide you on how to care for the affected area at home — such as rinsing gently and avoiding chewing on the injured side.
  • Step 3 – Documentation for LOP Cases
    When treatment is provided under a Letter of Protection, thorough and timely documentation is essential. We carefully record all diagnostics, treatment details, and imaging to support your ongoing legal or insurance claim. Our administrative team works directly with your attorney or case manager to ensure your care and records are properly coordinated.

Even if you don’t yet have legal representation, our team can help connect you with an experienced personal injury attorney who understands dental trauma cases and can issue an LOP on your behalf.

If you are an attorney representing an injured patient, simply email us at bdi@brush365dental.com.

Why Choose brush365 Dental Injury

When facing a dental injury in Texas from a car accident or negligence, you need expert care immediately. brush365 Dental Injury is one of only a few dentists’ offices in the state offering LOP coverage for traumatic injuries—helping patients from unlucky falls to car accidents.

Dental injury services are conveniently available at all four of our brush365 locations, making getting the care you need easy.  We combine advanced training with a welcoming environment to treat common dental emergencies and complex trauma. From repairing fractured teeth to protecting permanent teeth and healing soft tissues, we deliver precise, compassionate treatment.

At brush365 Dental Injury, we restore your mouth’s health, appearance, and comfort—without letting financial barriers delay care.

New Patients Should Choose ‘BDI brush365 Dental Injury Consultation’.

brush365 team talking to a patient at the reception
See the Results for Yourself!
Teeth Knocked Out in Accident Replaced with Esthetic Porcelain Bridge
Teeth Knocked Out in an Accident - Replaced with Esthetic Porcelain Bridge
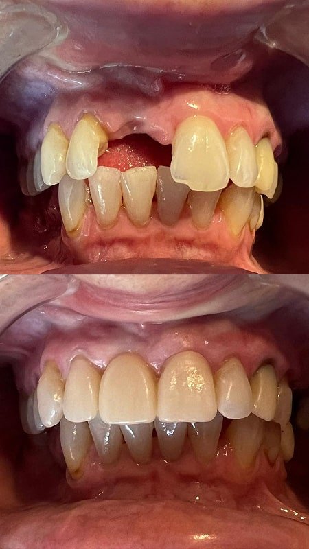
Tooth Fell Out in Car Accident - Replaced with Porcelain Bridge
Tooth Fell Out in a Car Accident - Replaced with Porcelain Bridge
Slip and Fall Damaged Teeth - Repaired With Cosmetic Bonding
Slip and Fall Damaged Teeth - Repaired With Cosmetic Bonding
Lower arch broken veneers in accident replaced by brush365 Dental Injury
Lower Arch Broken Veneers in an Accident - Replaced by brush365 Dental Injury
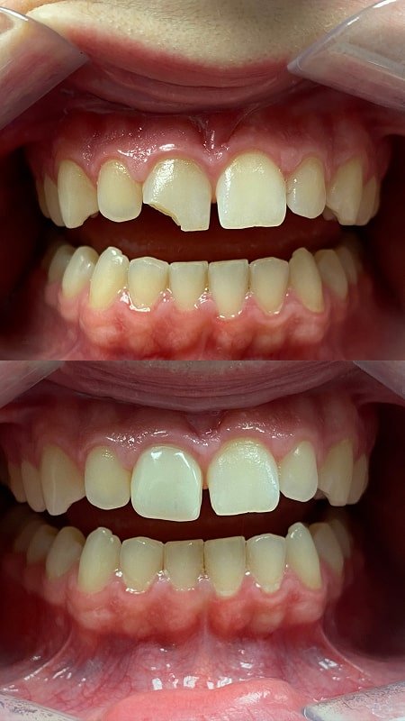
Cracked Tooth in Motorcycle Accident Repaired with Single Veneer
Cracked Tooth in a Motorcycle Accident - Repaired with a Single Veneer
Fractured Teeth From Trip and Fall Replaced with Porcelain Veneers
Fractured Teeth From Trip and Fall - Replaced with Porcelain Veneers
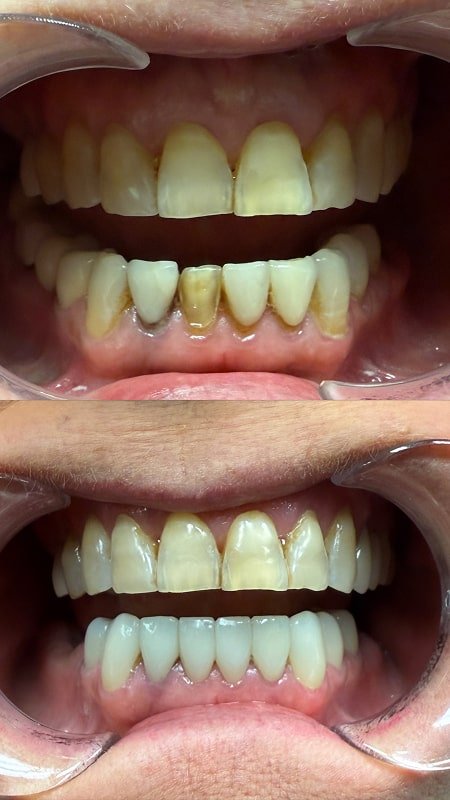
Broken Teeth from Car Accident Repaired with Porcelain Crowns and Bridges
Broken Teeth from a Car Accident - Repaired with Porcelain Crowns and Bridges
Broken Tooth in Car Accident Repaired with Cosmetic Bonding
Broken Tooth in a Car Accident - Repaired with Cosmetic Bonding
Broken tooth in an assault. Before and after restoration showing full cosmetic and restorative repair
Broken Tooth in an Assault – Repaired with Cosmetic and Restorative Treatment
We Are Your Trusted Advocates

Book your visit with brush365 Dental Injury today to get started.