Broken Tooth Dentist in Frisco: How We Fix Chipped, Cracked, and Knocked-Out Teeth

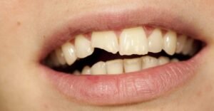
A broken tooth can mean very different things depending on how it happened and how deep the damage goes. Sometimes it is a small chip along the edge of a front tooth. Sometimes it is a crack that extends further than it first appears. In more urgent situations, a tooth may be completely knocked out.
Treatment depends on structure, timing, and whether the inner portion of the tooth has been affected. The goal is consistent across cases: preserve what can be saved and restore strength in a way that holds up long term.
Evaluating the Type and Extent of Damage
Not all broken teeth require the same level of intervention. A surface chip may be primarily cosmetic. A crack that extends toward the nerve can threaten the vitality of the tooth. A knocked-out tooth requires immediate evaluation to determine whether reattachment is possible.
When a patient presents with a broken tooth, the first step is a careful assessment. This includes a clinical exam and digital imaging to determine how far the fracture extends, whether the nerve has been exposed or irritated, whether the root is involved, and whether surrounding bone or gum tissue has been affected.
Small chips that do not compromise structural integrity are often repaired with bonding. Composite resin can be shaped and polished to blend with natural enamel, restoring contour and appearance in a single visit.
Cracks require more nuanced planning. Some are limited to enamel. Others extend into dentin or reach the pulp. If the tooth remains structurally stable and the nerve is healthy, a crown may be recommended to reinforce the tooth and prevent the crack from spreading. If the pulp has been compromised, root canal treatment may be necessary before restoring the tooth.
In cases where a tooth has been knocked out, timing becomes critical. If the tooth is recovered quickly and handled properly, reimplantation may be possible. The sooner it is evaluated and stabilized, the stronger the prognosis.
Stabilizing First, Then Restoring for Longevity
When a tooth breaks, the natural instinct is to fix it quickly. Speed matters, especially in urgent situations, but long-term durability matters more.
For front teeth, aesthetics are important, but bite balance cannot be ignored. For back teeth, strength and load distribution are priorities. A repair that looks good but does not account for bite forces can lead to repeated fractures.
In many situations, the first visit focuses on stabilization. That may involve smoothing sharp edges, placing a temporary restoration, relieving bite pressure, or protecting exposed areas. Once inflammation settles and the full extent of damage is clear, definitive treatment can be planned more precisely.
Depending on the situation, treatment options may include bonding for minor chips, porcelain veneers for isolated cosmetic fractures in appropriate cases, crowns to protect structurally compromised teeth, root canal therapy when the pulp is involved, or dental implants or bridges if the tooth cannot be preserved.
The appropriate solution always depends on preserving as much healthy structure as possible while ensuring the tooth can function predictably and comfortably.
Why Prompt Evaluation Matters
Even when a broken tooth does not cause immediate pain, it should still be evaluated. Cracks can allow bacteria to enter over time. Small fractures can expand under chewing pressure. Delaying care may convert a repairable issue into one that requires more complex treatment.
Early evaluation often leads to more conservative solutions and better long-term outcomes. If you have chipped, cracked, or knocked out a tooth, schedule an evaluation with brush365 so we can assess the damage and create a clear plan to restore strength, function, and appearance.